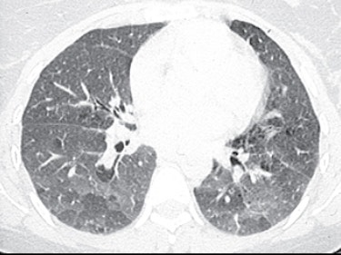
Mar 24, 02 · Directed by Duane Graves, Justin Meeks With Justin Meeks, Quentin Guerrero, Rene Moreno Nestles the viewer cozily within the diseased mind of a serial killer as he confronts the lurking demons that have driven him to madness and murderWhat does headcheese mean?The head cheese sign refers to a juxtaposition of regions with three (or sometimes more) different densities/regions of different attenuation within the lungs groundglass opacities (high attenuation) mosaic attenuation pattern (low attenuation) normal lung tissue (normal attenuation)
Head Cheese Sign Axial Chest Ct With Lung Window Shows A Combination Download Scientific Diagram
Head cheese significado
Head cheese significado-Headcheese meaning 1 meat from the head of a pig, cooked, and pressed into a block 2 meat from the head of a pig Learn moreHead cheese or brawn is a cold cut terrine or meat jelly, often made with flesh from the head of a calf or pig (less commonly a sheep or cow), typically set in aspic, that originated in EuropeUsually eaten cold or at room temperature, the dish is, despite the name, not a dairy cheeseThe parts of the head used in the dish vary, though commonly do not include the brain, eyes and ears of the



A Graphic Showing A Cut Piece Of A Head Cheese Case Courtesy Of A Download Scientific Diagram
May 05, 21 · Posted May 5th, 21 @ 05pm Supposedly, there are five stages of grief denial, anger, bargaining, depression and acceptance I think after number two, I went straight to number five Let's face it Packer fans, it appears the ron Rodgers era in Titletown is over It's ending two or three years prematurely, but it's endingMay 10, 15 This Pin was discovered by Dr Nazahat Pasha Discover (and save!) your own Pins onChung, Jonathan H MD Author Information The authors declare no conflicts of interest Journal of Thoracic Imaging January 14 Volume 29 Issue 1 p W13
Just to be clear, head cheese does not mean the brain, ears, or eyes Usually, head cheese is made with what's left over after those organs have been removedNov 05, 13 · Almost Head cheese is, in fact, made with heads real ones, from pigs But there is no cheese involved, and really the word "cheese" was probably employed because referring to something as "head loaf" is really quite unappetizing Now, unless you are an offal devotee, you might see the phrase "pig's heads" and want to hide under the coversThe head cheese sign refers to a juxtaposition of regions with three (or sometimes more) different densities/regions of different attenuation within the lungs groundglass opacities (high attenuation) mosaic attenuation pattern (low attenuatio
Try it today – your taste buds will thank you!Nov 05, 19 · Head cheese is an organ sausage or meat jelly often served cold or at room temperature, typically made with meat from the heads of pigs or calves What is head cheese made of?Description Additional information Farmer's Fresh Meat is proud to introduce its new Hot Hog Head Cheese!



Hrct Part Ii Sarcoidosis And Hypersensitivity Pneumonitis Youtube



Hypersensitivity Pneumonitis Radiology Reference Article Radiopaedia Org
Dec 13, 10 · Chill liquid completely Place pig's head and feet in brine, cover with a heavy plate and chill at least 24 hours To cook headcheese Remove pig's headAmount of Iron in Head Cheese Iron 02mg 3% Fatty acids Amino acids * The Percent Daily Values are based on a 2,000 calorie diet, so your values may change depending on your calorie needs Report a problem with this food Find on AmazonEnjoy the smoldering goodness of this southern favorite, alone or with a complimenting dish!



Epos Trade



Head Of Cheese Icon Vector Outline Illustration Stock Illustration Download Image Now Istock
Headcheese Sign A Useful Radiological Marker Received ;• The head cheese sign refers to a juxtaposition of regions with ground glass opacities, mosaic attenuation pattern, and normal lung tissue This sign is highly specific for hypersensitivity pneumonitis, although it can also be seen in other mixed infiltrative and obstructive processesHello, Sign in Account & Lists Returns & Orders Cart All That's What Cheese Said WI Greenbay Cheese Head State Shirt 50 out of 5 stars 1 $1799 $ 17 99 FREE Shipping on orders over $25 shipped by Amazon That's What Cheesehead!



Review Of The Chest Ct Differential Diagnosis Of Ground Glass Opacities In The Covid Era Radiology



8 Things You Didn T Know About Wi Cheese Travel Wisconsin
It's called Head cheese because a lot of the meat in it comes from the head, like the cheek, tongue, some use lips, ears, and any left over meat scraps from trimming other cuts of meat from the carcass That being said, it is not an organ meat loaThis pattern of mixed parenchymal lung densities has been likened to the morphologic appearance of the mixture of boiled pork scraps and pigs' feet in a gelatinous background known and marketed as head cheese or hog's head cheese and is therefore known as the "head cheese sign" or "hog's head cheese sign" 25, 26 How does this particular imaging sign help radiologists in theirHeadcheese Sign Chong, Bradford J BS;



The Radiology Assistant Covid 19 Differential Diagnosis



Chest Radiology Plain Film And Ct Beyond The Basics Ppt Video Online Download
Accepted Fig 1 HRCT (5 mm sections) scan of the thorax of the patient showing air trapping (red arrows), ground glass opacity with high attenuation (blue arrows) and intervening normal lung (yellow arrow)The fancy name is nosetotail, but most folks just know it as a way to not waste anythingMeat is expensive, so finding a way to create tasty mealsThe head cheese sign refers to a juxtaposition of regions with three (or sometimes more) different densities/regions of different attenuation within the lungs HEAD CHEESE SIGN, GROUND GLASS, MOSAIC PATTERN SARCOIDOSIS, STAGE IV, PTX, ENCASEMENT



Hrct Of Common Lung Diseases W Richard Webb Md Common Lung Diseases Hrct Infections Pneumonia Airways Disease Infections Pneumonia Airways Disease Ppt Download



Hypersensitivity Pneumonitis A Historical Clinical And Radiologic Review Radiographics
Jun 01, 17 · Head Cheese Sign Head cheese is a type of terrine made from pieces of meat obtained from various parts of different animals, such as a calf or pig ( Fig 15 A ) The head cheese sign is characterized by the juxtaposition of distinct radiographic areas of low, normal, and high attenuation 38 The CT scan image bears close resemblance to the cut surface of a head cheeseHead Cheese and Pate The Polish deli is not only known for its sausages and excellent array of cold cuts It is also recognized for its more unique products such as head cheeses and pâtés, or "salceson" and "pasztet," respectively, in PolishIn southern Louisiana, hog's head cheese is a specialty that used to be a deli and butcher shop staple A glistening block of quivering meat, this "cheese" is dairyfree, but emphatically



The Headcheese Sign In Chronic Hypersensitivity Pneumonitis Download Scientific Diagram



The Headcheese Sign In Chronic Hypersensitivity Pneumonitis Download Scientific Diagram
May 24, 21 · H ead cheese is not the most appetizing name for a food, but if you can get past the name, hog's head cheese is a dish you should definitely know about Using every bit of an animal is standard practice in a lot of places;Sep 03, 17 · Headcheese OG, also known simply as "Head Cheese," is a slightly sativa dominant hybrid (60% sativa/40% indica) strain created through crossing the insanely pungent Cheese X Headband strains With parents like these, you know Headcheese OG is going to have a crazy intense stench Headcheese OG has a smell that's said to be incredibly potent with a heavyFeb 14, 17 · Some of these patterns have been described as radiologic "signs," such as the treeinbud, crazy paving, and head cheese signs, whereas others have been used to describe pathology associated with specific diseases



Pin On Radio Chest



Head Cheese Sign Radiology Www Medicaltalk Net The Best Medical Forum For Medical Students And Doctors Worldwide
It is also used in some languages for concepts for which no sign is available at that moment There are obviously specific signs for many words available in sign language that are more appropriate for daily usageInspired by the lush Tuscan farms of Italy's heartland, Boar ' s Head Bold Italian Style Herb Coated Mozzarella Cheese is a taste of the Old Country Creamy whole milk mozzarella is generously coated with an aromatic blend of basil, oregano, rosemary, bell pepper and garlic for a sensory expedition to the Italian countrysideApr 06, 13 · The head cheese in this recipe photo is light on meat, resulting in a smoother meltinyourmouth texture Most people, however, prefer a meatier mix, and that's what you'll get if you add all of the meat from the recipe below This recipe for head cheese takes some time but very little effort Mostly, it's about simmering and refrigerating



Head Of Cheese Icon Vector Head Of Cheese Sign Color Symbol Royalty Free Cliparts Vectors And Stock Illustration Image



H
Head Cheese (with a touch of garlic) #1 We make our head cheese using pork snouts, which we flavor with a mild blend of spices and a hint of onions and garlic Shipped Fresh Approx Weight 1 lb ADD TO CART Product added to wishlist Add to Wishlist Product added!Rub head with sea salt, white pepper, red pepper and 1 tablespoon herbs de Provence Let cure, refrigerated, for two days Rinse head, remove the tongue and refrigerate for later use, and then place the head in a large soup pot Add wine, herbs de Provence, vegetables and then water toDeluxe WI Cheese head Gift Basket features Smoked Summer Sausages, 100% Wisconsin Cheeses, Crackers, Pretzels, Mustards, Coffee Mug Best



Head Cheese Sign Axial Chest Ct With Lung Window Shows A Combination Download Scientific Diagram



Head Cheese Wikipedia
Keywords "head cheese sign", "hilum convergence sign", "hilum overlay sign", "hogs head cheese sign", "incomplete border sign", luftsichel sign, thoracic imaging, "walking man sign", "water bottle sign"Game Time Football TShirt 50 out of 5 stars 1Hog's Head Cheese Sign A term of art referring to a CT appearance in which there are mixed densities of lung parenchyma which has been fancifully likened to the appearance of the mixture of boiled pork scraps and pigs' feet in a gelatinous base which is marketed as hog's head cheese The hog's head cheese pattern indicates a mixed infiltrative pattern characterized by groundglass



Epos Trade



Steps To Make Head Cheese Sign Hypersensitivity Pneumonitis
Hog's Head Cheese Sign A term of art referring to a CT appearance in which there are mixed densities of lung parenchyma which has been fancifully likened to the appearance of the mixture of boiled pork scraps and pigs' feet in a gelatinous base which is marketed as hog's head cheese The hog's head cheese pattern indicates a mixed infiltrative pattern characterized by groundglass orHead Cheese Carefully crafted with select cuts of ham blended with sweet red peppers, this Old World terrine resembles a rough pâté and is uncommonly flavorful Boar ' s Head Head Cheese is an authentic take on a traditional German delicacy Gluten FreeKanne, Jeffrey P MD;



Scielo Brasil Padroes Tomograficos Das Doencas Intersticiais Pulmonares Difusas Com Correlacao Clinica E Patologica Padroes Tomograficos Das Doencas Intersticiais Pulmonares Difusas Com Correlacao Clinica E Patologica



Chest Imaging Using Signs Symbols And Naturalistic Images A Practical Guide For Radiologists And Non Radiologists Insights Into Imaging Full Text
Head Cheese Signcombination of groundglass opacity and mosaic perfusion on chest CT seen in hypersensitivity pneumonitis, DIP, sarcoid Hockey Stick Ureter (AKA Fishhooking)Jshaped appearance of distal ureter from enlargement of prostate and elevation of trigone usually in BPHHeadcheese definition 1 meat from the head of a pig, cooked, and pressed into a block 2 meat from the head of a pig Learn moreA jellied loaf or sausage made from chopped and boiled parts of the feet, head, and sometimes the tongue and heart of an



Technical Aspect Of Hrct Interstitial Lung Diseases Ppt Download



Chest Imaging Using Signs Symbols And Naturalistic Images A Practical Guide For Radiologists And Non Radiologists Insights Into Imaging Full Text
Wedding Cheese Bar Sign First Comes Love, Then Comes Cheese Wedding Cheese Table Sign Cheese Board Display Wedding Cheese Table Sign LittleCreekCreative 5 out of 5 stars (2,177) Sale Price $252 $ 252 $ 4 Original Price $4" (40%Definition of headcheese in the Definitionsnet dictionary Meaning of headcheese What does headcheese mean?



Head Cheese Sign Ref India



Head Cheese Sign Axial Chest Ct With Lung Window Shows A Combination Download Scientific Diagram



Figure 3 Sign Fleischner Sign Fissure Sign Headcheese Sign Hilar Overlay Sign The Anterior Junction Line Bulging Fissure Sign



Reticular Pattern



Pdf Headcheese Sign A Useful Radiological Marker Semantic Scholar



Case Based Glossary With Tips And Tricks Springerlink



Esti16 Twitter Search



Leticia Kawano Dourado Head Cheese Sign In Person In Mexico City Chronichypersensitivitypneumonitis Headcheesesign



View Image



Louisiana Hog S Head Cheese Gastro Obscura



Cheese Sign Sliced Food With Chief Hat Icons Stock Illustration Download Image Now Istock



Scielo Brasil Padroes Tomograficos Das Doencas Intersticiais Pulmonares Difusas Com Correlacao Clinica E Patologica Padroes Tomograficos Das Doencas Intersticiais Pulmonares Difusas Com Correlacao Clinica E Patologica



Cartoon Red Head Cheese Mascot Tablet Stock Vector Royalty Free



Reticular Pattern



There S A Heifer In Your Tank The Evolution Of Head Cheese Everything But The Squeal



Signs In Radiology Head Cheese Sign Lungs



Head Cheese Sign Lungs Radiology Reference Article Radiopaedia Org



Alveolar Airspace Lung Disease Acute Chronic And Ground



Figure 41 From High Resolution Ct Of The Lung Patterns Of Disease And Differential Diagnoses Semantic Scholar



Head Of Cheese Icon Vector Outline Illustration Stock Vector Illustration Of Graphic Croissant



Demystifying Fibrotic Hypersensitivity Pneumonitis Diagnosis It S All About Shades Of Grey European Respiratory Society



Head Cheese Man By Hepoloysa On Amazon Music Amazon Com



과민성 폐렴 진단 Hypersensitivity Pneumonitis Hp Diagnosis 네이버 블로그



The Headcheese Sign In Chronic Hypersensitivity Pneumonitis Download Scientific Diagram



Southwest Journal Of Pulmonary Critical Care Imaging Medical Image Of The Week Headcheese Sign



Souse A Traditional Southern Head Cheese Dont Be Woeful Bout Offal



Head Of Cheese Isometric Icon Vector Illustration Stock Vector Illustration Of Louvremuseum Pictogram



Ct Signs In The Lungs Sciencedirect



Figure 3 Sign Fleischner Sign Fissure Sign Headcheese Sign Hilar Over



1 Chest Imaging Ideas Radiology Radiology Imaging Radiography



134 Head Cheese 1 Lb Geiers Sausage Com



M 3 M 21 Focal Reticulonodular Patterns A



Food Signs In Radiology



Ild In Head Cheese Sign To Differentiate Between Chronic Hp And Ipf Ildin19



Rob Weland S Head Cheese Is Poetry To The Ear Washington City Paper



The Radiology Assistant Covid 19 Differential Diagnosis



Review Of The Chest Ct Differential Diagnosis Of Ground Glass Opacities In The Covid Era Radiology



Head Cheese Sign Lungs Radiology Reference Article Radiopaedia Org



The Road To Hrct Evaluation Of Pediatric Diffuse Lung Diseases Part 1



H



A Graphic Showing A Cut Piece Of A Head Cheese Case Courtesy Of A Download Scientific Diagram



The Radiology Assistant Covid 19 Differential Diagnosis



Pdf Chest Imaging Using Signs Symbols And Naturalistic Images A Practical Guide For Radiologists And Non Radiologists Semantic Scholar



Hrct Of Common Lung Diseases W Richard Webb Md Common Lung Diseases Hrct Infections Pneumonia Airways Disease Infections Pneumonia Airways Disease Ppt Download



Jack Iwashyna These Are The Teaching Figures For Comet Tail Crazy Paving And Head Cheese T Co Umomjp3ueo



Pdf Medical Image Of The Week Headcheese Sign Asma Iftikhar Academia Edu



Headcheese Sign



References In Chest Ct Signs In Pulmonary Disease Chest



Allergic Lung Diseases Hypersensitivity Pneumonitis And Eosinophilic Lung Disease Radiology Key



Hypersensitivity Pneumonitis And Eosinophilic Lung Disease Radiology Key



Head Cheese Wikipedia



Review Of The Chest Ct Differential Diagnosis Of Ground Glass Opacities In The Covid Era Radiology



Hrct Of Common Lung Diseases W Richard Webb Md Common Lung Diseases Hrct Infections Pneumonia Airways Disease Infections Pneumonia Airways Disease Ppt Download



Variable Utility Of Mosaic Attenuation To Distinguish Fibrotic Hypersensitivity Pneumonitis From Idiopathic Pulmonary Fibrosis European Respiratory Society



Head Cheese Probably Isn T What You Think It Is Photos Huffpost Life



The Headcheese Sign In Chronic Hypersensitivity Pneumonitis Download Scientific Diagram



Review Of The Chest Ct Differential Diagnosis Of Ground Glass Opacities In The Covid Era Radiology



Scielo Brasil Padroes Tomograficos Das Doencas Intersticiais Pulmonares Difusas Com Correlacao Clinica E Patologica Padroes Tomograficos Das Doencas Intersticiais Pulmonares Difusas Com Correlacao Clinica E Patologica



Head Cheese Boar S Head



Vector Head Of French Cheese Flat Color Line Icon Symbol And Sign Illustration Design Isolated On White Background Canstock



Review Of The Chest Ct Differential Diagnosis Of Ground Glass Opacities In The Covid Era Radiology



Malone S Fine Sausage Recalls Pork Head Cheese For Possible Listeria



Hog S Head Cheese Isn T Really Cheese But It Is A Delicious Southern Recipe



Epos Trade



Head Cheese Stock Illustrations 2 443 Head Cheese Stock Illustrations Vectors Clipart Dreamstime


0 件のコメント:
コメントを投稿